1. (Histologie) Synonyme de acido-alcoolo-résistant.
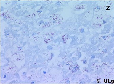
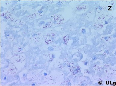
2. Qualifie le comportement de certaines bactéries, particulièrement du genre Mycobacterium, qui, fixées sur lames et colorées à l'aide d'un réactif à la fuchsine ne sont pas décolorés par un traitement à l'aide d'un acide fort (acide sulfurique dilué) et d'alcool éthylique, à la différence du fond qui est décoloré. [Dictionnaire médical de l'Académie de Médecine]
3. (Histologie) Se dit de bactéries ne se décolorant ni sous l'action des acides forts, ni sous l'action de l'alcool.
Les mycobactéries sont des bacilles acido-alcoolo-résistants ou BAAR.
4. Se dit d'un microorganisme ( Mycobacterium notamment) qui, une fois coloré par la fuchsine à chaud, ne peut pas être décoloré par un acide minéral fort et l'alcool, les autres cellules étant décolorées. [Dictionnaire médical de l'Académie de Médecine]
5. (Histologie) Qui résiste à la décoloration par les acides et l'alcool après coloration spécifique.